Shock Spot Check Tests Veterinarians' Knowledge
by Christopher G. Byers, DVM, DACVECC, DACVIM (SAIM), CVJ | Apr 21, 2021 | Medical Webinars | 4 comments
This Spot Check is based on information from drip.vet's continuing education: Shock - Recognition & Interventions for a Common Clinical Problem.
Check Your Knowledge
Signalment
- Rosie (24 kg), 6-year-old spayed female German shepherd dog
Presenting Concern
- Acutely unwilling/unable to rise
Pertinent History
- Owner heard patient vocalizing outside so investigated and found patient lying on their deck unwilling/unable to rise.
- Owner immediately transported patient to veterinary hospital.
Primary Survey
- (A)irway: patent
- (B)reathing: panting
- (C)irculation: HR 165 bpm, slightly tacky mucous membranes, hyperkinetic synchronous femoral pulses, CRT 3 seconds, no murmur, T 98.9F
- (D)ysfunction of the CNS: anxious mentation, no cranial nerve deficits
- (E)xposure: generalized abdominal tympani with discomfort; no known intoxication or trauma
Initial Diagnostic Tests
- Systolic BP: 65 mmHg via Doppler
- PCV/TS: 47% / 6.8 g/dL
- Lactate: 5.3 mmol/L
- Electrolytes: Na+ 155 mmol/L, K+6 mmol/L, Cl- 108 mmol/L
- Venous blood gas: pH 7.278, HCO34 mmol/L, BE -7 mmol/L
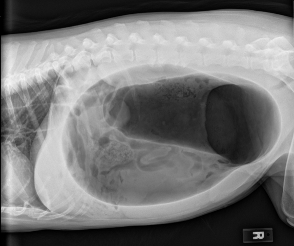
- POCUS (aFAST3): 0/4 abdominal fluid score, marked gaseous gastric distension suspected
- RLAT AXR

Diagnosis
- Obstructive shock
- Gastric dilatation-volvulus
Initial Interventions
- Placement of cephalic intravenous catheter
- Infusion of pHyLyte @ 20 mL/kg IV over 5-10 minutes
- Gastric trocharization
Evaluation of endpoints of resuscitation (EOR) after initial interventions
- TPR: 99.6F / 143 bpm / 36
- Resolution of gastric / abdominal distension
- Systolic BP: 78 mmHg via Doppler
- Level of consciousness (LOC): QAR
- PCV/TS: 45% / 6.5 g/dL
- Lactate: 3.5 mmol/L
Question:
Which ONE of the following is the next MOST appropriate intervention for Rosie?
A. Take patient into the operating room to perform an incisional gastropexy
B. Infuse another pHyLyte bolus (20 mL/kg IV over 5-10 minutes) and then reevaluate EORs
C. Perform orogastric intubation
D.Infuse 7% hypertonic saline @ 3 mL/kg IV over 15-20 minutes
ANSWER:
B - Infuse another pHyLyte bolus (20 mL/kg IV over 5-10 minutes) and then reevaluate EORs
Rationale
Gastric trocharization resolved Rosie’s marked gastric dilatation, so performing orogastric intubation is not indicated. Some of Rosie’s EORs improved with initial interventions, but she is not yet as stable as should she be prior to general anesthesia and surgery given her hypotension and mild tachycardia. Rosie did respond positively to her initial bolus of isotonic crystalloid, and infusion of a second isotonic crystalloid intravenous bolus is the next most appropriate step given her normal total solids and high-normal serum sodium concentration.

4 comments